ЗМІСТ
- Вступ
- Що таке зубна коронка
- Види зубних коронок
- Показання та протипоказання для встановлення зубних коронок
- Як відбувається встановлення зубних коронок в нашій клініці
- Ціна на встановлення коронок на зуби
- Рекомендації по догляду за зубними коронками
- Часті питання
- Переваги встановлення зубних коронок у клініці Happy Зуб
Зубна емаль – найтвердіша тканина в нашому організмі. Вона складається на 97% з мінералів, проте… навіть вона іноді дає слабину. Під впливом різних запальних процесів емаль може тріскатись, жовтіти, сколюватись. Або втрачати міцність після лікування карієсу та реставрацій (пломбування).
Під час вживання твердої їжі іноді можемо відчути підступне “хрусь”…Але це не значить, що справа обов’язково закінчиться видаленням. Частіше всього, проблему можна вирішити встановленням коронки на зуб.
Що таке зубна коронка
Зубні коронки – це різновид незнімних протезів у вигляді ковпачка на зуб. Коронка повністю імітує справжній зуб за формою та кольором і з часом абсолютно не відчувається як щось чужорідне. Чудово захищає зуб, відновлює функцію жування та додає естетичності вашій посмішці.
Тут варто уточнити, що зараз ми говоримо про коронку, яка “одягається” на збережену коронкову частину вашого зуба. Наприклад, після ендодонтичного лікування (мова йде про лікування каналів).

Встановлення зубних коронок на збережену частину зуба
Але є ще один варіант, при якому необхідно поставити коронку на зуб. Після вживлення імпланта у кісткову тканину замість вашого звичайного зуба на поверхні залишається металевий штифт, який і буде слугувати основою для майбутньої коронки.

Встановлення зубних коронок при імплантації
Види зубних коронок
Отже, з основним призначенням коронок вже розібрались. А тепер давайте визначимось з їх видами. Пам’ятаєте, колись давно “модно” було ставити золоті коронки? Так от, зараз на ринку є більш сучасні варіанти, які і виглядають красивіше, і по функціональності та безпечності нічим не поступаються.
Металокерамічні
Ковпачок виготовлений з металу, а зверху покритий керамікою. Металокерамічні коронки міцні, довговічні, надійні та бюджетні. Мають свої особливості: вони відносно тяжкі і при встановленні на передні зуби можуть з часом змінювати відтінок (починає просвічуватись метал крізь керамічну оболонку). Чудове співвідношення ціни та якості, якщо коронка потрібна на жувальні зуби.
Керамічні
Чудово виглядають та максимально точно повторюють вигляд ваших справжніх зубів. Керамічні коронки на зуби – досить міцні та легкі, ідеальний варіант для встановлення на видову частину щелепи. Якщо ставити на жувальні зуби, потрібно обходитись із ними з обережністю, оскільки кераміка більш крихка, ніж метал.
Цирконієві
Зараз буде відверте зізнання: на сьогодні, цирконієві коронки визнані найкращими. Так-так, і ми повністю згодні з експертами. Легкі, тонкі, ультра міцні, максимально біосумісні та неймовірно естетичні. Можна ідеально підібрати відтінок під ваші природні зуби, з ними посмішка виглядатиме приголомшливо! Є лише маленьке “але”…вони зовсім не бюджетні.
Показання та протипоказання для встановлення
зубних коронок
Сподіваємось, ми вас вже переконали, що коронки на зуби – найкращий метод захисту вашого зуба, а також повернення естетики посмішки та відновлення функцій жування. Так би мовити, засіб 3 в 1. Але ми ще повинні розповісти, в яких саме ситуаціях вам потрібно швиденько записуватись до вашого стоматолога та обирати собі коронку.
Серед основних показань для встановлення коронок ми виділяємо наступні:
- Значне руйнування зуба (але не більше, ніж на 50%)
Наприклад, глибокий карієс або інші пошкодження, які не дають можливості відновити цей зуб звичайним пломбуванням. - Захист зуба після проведення ендодонтичного лікування
Справа в тому, що мертвий зуб (після видалення нервів) стає більш крихким, втрачає міцність. Особливо це стосується пятірок, шісток на сімок – жувальних зубів, на які приходиться більша частина навантаження. А коронка на жувальний зуб захистить та відновить всі необхідні функції. - Корекція кольору та форми
Іноді так трапляється, що зуб втрачає свій природній колір, емаль стає надто жовтою чи сіруватою. На це є свої причини (одна з яких шкідлива звичка – паління), або зловживання фарбуючими продуктами та кавою. Тут теж коронка стане у нагоді. До того, ж нею можна скоригувати також і розмір зуба, чи виправити його певний дефект – скажімо, сколи. - Протезування після видалення зуба
Так, коронка може слугувати не лише як захист, а як повне відновлення зуба. Наприклад, при встановленні мостоподібного протезу чи після імплантації.
Якщо у вас присутній хоча б один з цих показів – можна вже придивлятись, де поставити коронку на зуб в Києві (а ми то знаємо куди вам треба звертатись) 😉
Але є ситуації, коли ніяка коронка не допоможе вирішити проблему, і доведеться шукати інші шляхи її вирішення. Тому варто розкрити тему протипоказань для встановлення зубних коронок.
Серед них виділяють наступні:
- Вік молодше 16 років
Зрозумійте правильно, це не “еджизм”)) Проте, ми не можемо ризикувати: щелепа в такому віці ще активно розвивається, росте, а тому і прикус може змінюватись. - Рухливість зубів
Так, серйозні запальні процеси можуть призвести до шатання зуба в щелепі. Тому, спершу потрібно вирішити проблему та пройти повне лікування (можливо, аж до видалення). - Захворювання зубів та ясен
Глибокий карієс, пародонтоз чи пародонтит – потрібно лікувати, і лише потім накривати зуб коронкою. - Бруксизм
Це патологія, яка викликає мимовільне стискання щелепи (зажим мязів), і може виникати скреготіння зубами. Внаслідок чого, коронка дуже ризикує: може і сама пошкодитись, і сусідні зуби сколоти. - Яскраво виражені аномалії прикусу
В такому випадку потрібно звертатись до ортодонта, проходити лікування брекетами, і лише потім ставити постійні коронки на зуб. - Алергічні реакції
Навіть якщо ви обираєте безметалеву коронку, але маєте схильність до виникнення алергії, радимо дослідити це питання більш глибоко. - Тяжкі хронічні та гострі інфекційні захворювання
На жаль, встановлення коронки в такому випадку може призвести до загострення проблеми. Доведеться відкласти процедуру до повного одужання через великий ризик виникнення побічних реакцій.
Як відбувається встановлення зубних коронок в нашій клініці
От ми вже і дістались до найцікавішого. Готові вам розповісти про те, як встановлюють коронку на зуб у нашій клініці “Хеппі ЗУБ”. Радісно і з натхненням, само собою! 🙂 Але давайте по кожному етапу пройдемось детальніше.
- Фіксація коронки
Готовий виріб приміряється, за необхідності мінімально коригується, аби прикус був максимально зручним, а зуби міцно змикались. При посадці коронка фіксується на спеціальний стоматологічний цемент. - Консультація та огляд у лікаря
Ви приходите, в гарному настрої, а ми вас радісно зустрічаємо, проводжаємо в кабінет, спілкуємось. Лікар огляне ротову порожнину, вислухає ваші побажання та оцінить проблему. Можливо, знадобиться зробити знімок, але це не обов’язково. В будь-якому випадку, під кінець консультації у вас буде повна інформація та створений пакет лікування. - Препарування зуба
Обточка, іншими словами. Тут варто відмітити, що її інтенсивність залежить від обраної коронки. Для металокераміки потрібно зняти 1.5-2 мм, для керамічної достатньо до 1 мм, а для цирконієвої взагалі 0,4-0,6 мм. Особливу увагу ми приділяємо якісному поліруванню зуба, щоб коронка прилягала ідеально міцно. Також на цьому етапі обираємо найбільш оптимальний відтінок, який підходить під ваші природні зуби. - Далі переходимо до зняття зліпків
Необхідно зняти відбитки обох щелеп, щоб коронка чудово вписалась в ваш прикус та не заважала. Звісно, при встановленні її можна підправити, проте правильність зліпків – це залог успіху. Зуботехнічна лабораторія виготовляє всі коронки індивідуально, враховуючи кожен мікрон. Поки постійна коронка виготовляється, для зручності пацієнта пропонуємо тимчасову коронку на зуб (виконана із пластику). Вона може виконувати функцію або жувального зуба, або суто естетичну.
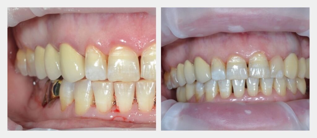
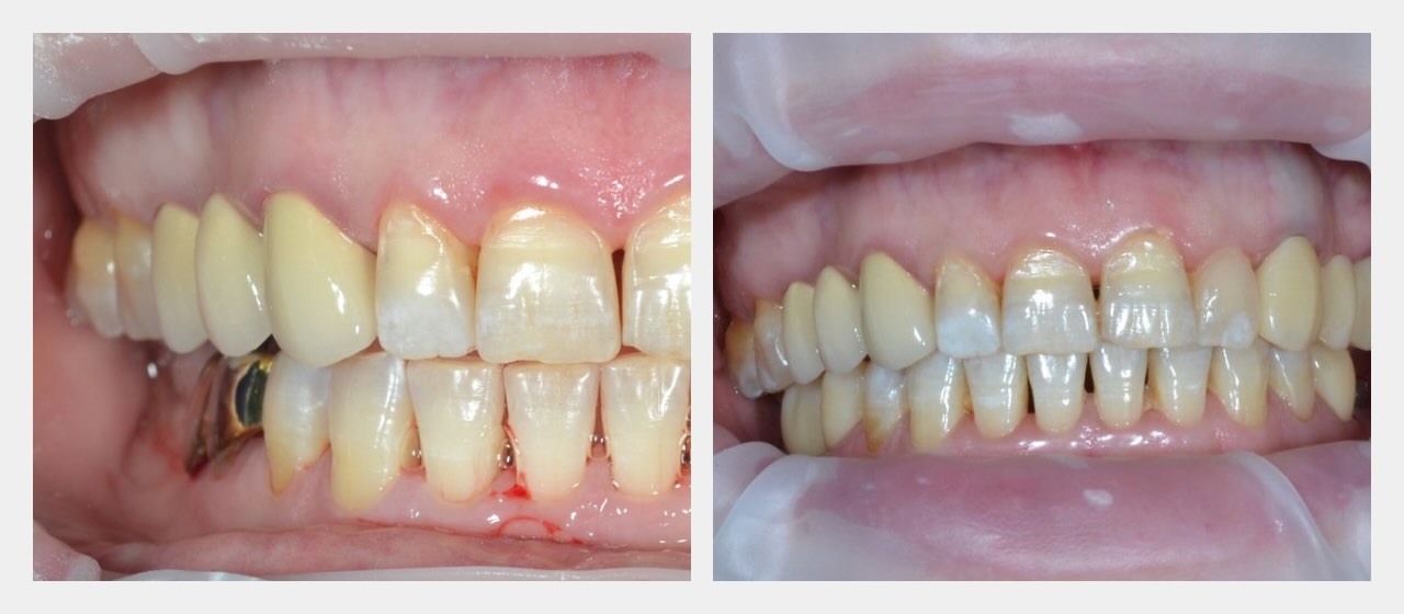
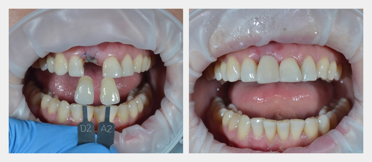
Встановлення зубних коронок при імплантації зубів
Приклади робіт зі встановлення зубних коронок в клініці Happy Зуб





Ціна на встановлення зубних коронок
Майже все, що хотіли, ми розповіли. І якщо у вас виникло бажання поставити коронки в Києві (Виноградар, ЖК ВАРШАВСЬКИЙ ПЛЮС), то ми завжди до ваших послуг. Розуміємо, що крім загальної інформації, напевно, вас цікавить ціна встановлення коронки. Звісно ж, вона залежить від багатьох факторів. Але основний з них – матеріал, з якого виготовлений постійний зубний протез.
Нижче наведемо вам найбільш актуальні позиції з нашого прайс-листа.
Встановлення Бюгельного протезу з кламерним кріпленням
11 500 грн
Встановлення часткового знімного протезу (нейлон)
9 000 грн
Встановлення часткового знімного протезу (акрил)
7 000 грн
Встановлення повного знімного протезу
10 500 грн
Тимчасова коронка, клінічна (встановлення)
600 грн
Тимчасова пластмасова коронка Cad-Cam (встановлення)
1 500 грн
Тимчасова коронка, лабораторна (встановлення)
2 900 грн
Безметалева пресована керамічна вкладка (встановлення)
8 900 грн
Металокерамічна коронка (встановлення)
8 000 грн
Металокерамічна коронка на імпланті (встановлення)
8 000 грн
Керамічна коронка пресована (без нанесення кераміки/встановлення)
8 500 грн
Керамічна коронка пресована (з нанесенням кераміки/встановлення)
10 000 грн
Керамічна коронка на імпланті (без нанесення кераміки/встановлення)
9 500 грн
Керамічна коронка на імпланті (з нанесенням кераміки/встановлення)
13 800 грн
Керамічна коронка на основі оксиду цирконію (без нанесення кераміки/встановлення)
9 000 грн
Керамічна коронка на основі оксиду цирконію (з нанесенням кераміки/встановлення)
11 500 грн
Рекомендації по догляду за зубними коронками
Ми завжди говоримо, що це такий же ваш зуб, як і всі інші. Тому любити його і доглядати за ним потрібно з такою ж відповідальністю. В цілому, більшість рекомендацій вам будуть чудово знайомі, але ще раз нагадати буде не зайвим.
Пам’ятка пацієнтУ по догляду за зубними коронками
- Чистити зуби двічі на день, бажано м’якою щіткою, щоб не травмувати ясна. Уникайте при цьому паст з агресивними компонентами, що можуть нашкодити коронці.
- Приділяйте увагу міжзубним проміжкам. Тут вам допоможе зубна нитка чи йоршик – користуйтесь ним щодня, щоб між вашими природними зубами та коронкою та затримувались залишки їжі.
- Уникайте занадто твердої їжі. Так, якщо ви полюбляєте горіхи, насіння, льодяники – дуже рекомендуємо вживати ці смаколики з обережністю. Не треба зайвий раз перевіряти коронку на міцність 🙂
- В перші дні після встановлення коронки радимо обмежити вживання фарбуючих продуктів: кава, червоне вино, буряк, морква, міцний чай. Ви ж не хочете, щоб ваш зуб раптом став з фіолетовим відтінком? От і ми не хочемо. Особливо це стосується коронок у видовій частині щелепи.
- Скажіть “ні” екстремальним температурам у ротовій порожнині. Надто холодна чи дуже гаряча їжа не роблять благо вашій коронці, та й взагалі не емаль впливає не надто позитивно.
- Звісно ж, не забувайте про регулярні огляди у стоматолога 2 рази на рік, і буде вам щастя.
Часті питання
Дивлячись, для якого саме зуба. Треба оцінювати характер руйнування, живий це зуб чи депульпований, місцезнаходження у щелепі. Ну і звісно ж, ваші фінансові можливості та побажання в цілому. Можемо сказати однозначно, що для видової частини краще обирати цільнокерамічну чи цирконієву коронку – задля дотримання найвищого рівня естетики.
Залежно від матеріалу, середній термін служби коливається. Для металокерамічних він становить, як правило, до 15 років. Для кераміки і цирконію – до 25 років. Загалом, все залежить від якості установки та дотримання пацієнтом рекомендацій по догляду.
Наприклад, тимчасові коронки виготовляються з пластику. Металокерамічні – із поєднанням металевого каркасу та кераміки, цільнокерамічні, а також цирконієві. Ще існують металеві – зі сплаву заліза чи золота, проте вони зараз зовсім не популярні через неестетичний вигляд.
Такий же, як і за вашими природними зубами. Регулярне чищення двічі на день з делікатною пастою, використання зубної нитки/йоршика та ополіскувача. Такий мінімальний набір гарантує вам свіже дихання та відсутність джерела розповсюдження бактерій. Ну, і не забувайте відвідувати свого стоматолога двічі на рік. Потрібно тримати під контролем стан ясен навколо коронки, адже від цього залежить ваш комфорт та термін експлуатації зубного протезу.
обладнання
новітнє обладнання та якісні матеріали для лікування
стерильність
максимальне використання одноразових матеріалів для вашої безпеки.
ПОслуги
всі види стоматологічних послуг для дорослих
ДОСВІД
досвідчені фахівці з відповідною кваліфікацією.
КОМФОРТ
комфортне лікування з використання сучасної анестезії
ПЕРСОНАЛЬНИЙ ПІДХІД
індивідуальна розробка плану лікування з фотопротоколом і зазначенням вартості
ЦІНИ
лояльні ціни на всі стоматологічні послуги
ТУРБОТА
супровід пацієнта, затишна атмосфера та доброзичливе ставлення
Запишіться на консультацію
Тому, любіть себе, слідкуйте за здоров’ям зубів, і буде вам щастя 🙂 Завжди раді бачити вас у нашій клініці, якщо виникне потреба у встановленні зубних коронок в Києві, на Виноградарі. Проконсультуємо, допоможемо, порадимо та полікуємо комфортно і без болю – це вже обіцяємо точно)

