ЗМІСТ
- Вступ
- Що таке вініри і в чому їх переваги?
- Типи вінірів
- Показання та протипоказання для встановлення вінірів
- Як відбувається встановлення вінірів в клініці Happy Зуб
- Ціна на встановлення вінірів
- Рекомендації по догляду за вінірами
- Часті питання
- Переваги встановлення вінірів у клініці Happy Зуб
Краса – страшна сила.
Краса – потребує жертв.
Чи все ж таки, краса врятує світ?
У кожному висловлюванні своя правда. Не будемо поглиблюватись у філософію, а торкнемось більш прагматичної теми. Зовнішня привабливість – це не лише про косметику чи ін’єкції для пружності шкіри обличчя. А про посмішку не забули? Статистично, майже 80% людей при знайомстві (особливо з протилежною статтю) звертають увагу саме на неї. Тааак, посмішка відкриває всі (нууу, майже всі) двері 🙂
І чого це раптом на сторінці стоматологічної клініки ми так довго розповідаємо про красу і гармонійну зовнішність? А тому, що в списку наших послуг є і суто естетичний напрямок – установка вінірів.
Ми називаємо їх ваші зуби, тільки краще. Вініри – так би мовити, далекий родич протезування. Але підходить ця послуга для тих, хто бажає удосконалити свої природні зуби. Якщо ви бачите когось із голлівудською, сніжно-білою посмішкою, де всі зуби, як у зірок рівні, симетричні і однакового кольору…б’ємось об заклад: у 95% випадків – це вініри.
Що таке вініри
Давайте ближче до суті. Вініри на зуби – це тонкі накладки із кераміки або композитного матеріалу, які коригують форму, приховують дрібні сколи, нерівності, плями на поверхні емалі, роблять непомітними діастеми (щілини між зубами). Одним словом, виконують естетичне виправлення зубів, при чому вініри не відносяться до складних ортопедичних конструкцій.
Після установки вам не потрібно довго звикати до “нових” зубів – адже вони не відчуваються, як щось чужерідне в ротовій порожнині. Додатковий плюс в тому, що ви отримуєте миттєвий результат – красива білосніжка посмішка, про яку мріє кожен.

Які бувають типи вінірів і у чому різниця?
Розглянемо всі доступні варіанти і детальніше розкажемо про кожен із них. Адже перш, ніж поставити вініри на зуби, варто зважити всі переваги та недоліки кожного матеріалу.
Почнемо з найбільш популярних. Керамічні вініри виготовлені із міцної високоякісної кераміки, яка повністю імітує природну емаль. За це їх і люблять пацієнти. Естетичні, довговічні, досить стійкі до механічних ушкоджень, що особливо важливо для передніх зубів. При правильному догляді можуть слугувати мінімум 20 років. Крім того, стоматологічна кераміка мало піддається фарбуванню кольоровими напоями та їжею.
Але давайте про нюанси, які варто враховувати перед процедурою. Справа в тому, що для установки керамічних вінірів необхідно підготувати зуби – зняти тонкий шар емалі (орієнтовно 0,5 – 0,7 мм). Для створення ідеальної форми, такі вініри виготовляються в зуботехнічній лабораторії, згідно індивідуальних зліпків пацієнта. Саме тому вони виглядають приголомшливо гарно і натурально.
Композитні вініри простіше та доступніше по вартості. Вони не потребують обточки зубів, а зліпки можна зробити одразу за 1 прийом у стоматолога. Вони виготовлені зі композитної смоли: цей матеріал чимось нагадує той, із якого роблять деякі пломби для лікування карієсу. Важливо підкреслити, що вони не дають “вау” ефекту, як керамічні, адже не можуть ідентично на 100% відтворити колір та структуру зуба. Також вони мають менший термін служби (приблизно 7 років), та більш вразливі до фарбуючих пігментів.
Ще існує окремий вид вінірів під назвою люмініри, які є над тонкими (всього 0,3 мм), але від того їх вартість значно збільшується. По цій причині вони не користуються великою популярністю, як і цирконієві вініри.
В цілому, якщо підсумувати, то відмінності керамічних та композитних вінірів полягають у:
- зовнішньому вигляді, оскільки керамічні виглядають більш натурально, як ваші природні зуби.
- вартості, адже кераміка коштує суттєво дорожче;
- способі встановлення (перші вимагають попередньої обточки, а композитні можна встановлювати без підготовки);

підбір вінірів за кольором
Показання та протипоказання для встановлення вінірів
Основна причина – ваше бажання отримати неймовірну посмішку. І цього може бути цілком достатньо).
Але давайте перерахуємо всі можливі показання до установки вінірів:
- щілини між зубами (діастеми). Вініри в такому випадку нівелюють зайвий простір та створюють рівний красивий зубний ряд;
- сірий чи жовтий відтінок емалі чи видимі плями на зубах, які не прибираються відбілюванням;
- невеликі сколи, тріщини або потертості;
- мінімальне викривлення чи нерівне положення зубів;
- отримання суто естетичного ефекту – так звана голлівудська посмішка та максимальна впевненість в собі)
Якщо у вас наявні перераховані проблеми, чи ви просто завжди мріяли про посмішку “на мільйон”, ласкаво просимо!
Але іноді трапляються ситуації, коли установку вінірів доведеться відкласти, чи навіть взагалі відмовитись від даної процедури.
До таких випадків відносяться:
- запальні захворювання ротової порожнини, в тому числі глибокий нелікований карієс, гінгівіт, пародонтит;
- руйнування зуба більше, ніж на 50% – реставрація вінірами в даному випадку не принесе бажаного результату;
- неправильний прикус та значне викривлення зубного ряду – тут буде рекомендоване лікування брекет-системою;
- бруксизм, який може призвести до механічного пошкодження вінірів;
- ретиновані (непрорізані) зуби;
- надто молодий вік, в середньому від 18 до 23 років, коли формування щелепи ще не завершено;
- робота чи хобі, пов’язані з травмонебезпечними ситуаціями, де є ризик пошкодити зуби.
Якщо ви знайшли у себе хоча би 1-2 пункти із протипоказань, не засмучуйтесь – ми знайдемо варіант реставрації чи протезування, який буде підходити вам на 100%.
Як відбувається встановлення вінірів в клініці Happy Зуб
Все відбувається легко, з гарним настроєм та під повним контролем лікаря. А детальніше, можна описати процес встановлення вінірів у декілька етапів:
- пацієнт приходить на огляд, де на першому візиті стоматолог-ортопед оцінює стан ротової порожнини: чи немає прихованих запальних процесів у зубах та яснах, загальний стан зубного ряду, правильність прикусу та інші важливі деталі. Якщо виявлені проблеми – то призначає лікування, оскільки перед встановленням вінірів всі зуби мають бути здоровими;
- далі пацієнт разом з лікарем обирає відтінок який буде максимально відповідати кольору вашій зубній емалі, та підбирає форму вінірів;
- на другому етапі проводиться препарування (підготовка методом обточки) зубів до встановлення вінірів. Це стосується керамічних накладок. Залежно від виду вінірів, знімається рівномірний шар товщиною 0,3-0,7 мм, щоб вивільнити місце для установки. Процедура обточки проводиться під місцевою анестезією, а в цей час пацієнт може розслабитись і довіритись професіоналам;
- важливий етап – зняття зліпків, які потім відправляються у зуботехнічну лабораторію;
- керамічні вініри виготовляються індивідуально під ваш прикус і форму зубів, і звісно ж, на це потрібен час. Тому на декілька днів пацієнту пропонують встановити тимчасові накладки, які будуть захищати препаровані зуби та відповідати за естетичність вашої посмішки;
- третій етап – примірка готових вінірів. Якщо є мінімальні недоліки, накладки обточуються, щоб пацієнту було з ними максимально комфортно. І лише коли лікар переконався у максимальній точності, можна переходити до підготовки поверхні зуба до фіксації;
- стоматолог на цьому етапі обробляє поверхню кожного зуба спеціальною кислотою (для створення мікропористості) та адгезивним матеріалом, аби спричинити краще зчеплення вінірів та емалі;
- далі слідує процес фіксації: на внутрішню сторону вініра наноситься спеціальний стоматологічний цемент, і накладка прикріплюється до зуба. Під дією ультрафіолету матеріал, з якого зроблений цемент полімеризується (тобто, твердіє) і таким чином вініри залишаються приклеєними до ваших зубів.
- після надійної фіксації вініри поліруються спеціальною насадкою, щоб надати їм природного блиску та гладкості.
Все – залишилось милуватись у дзеркало новою посмішкою 🙂

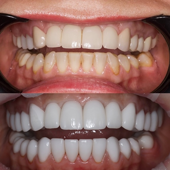
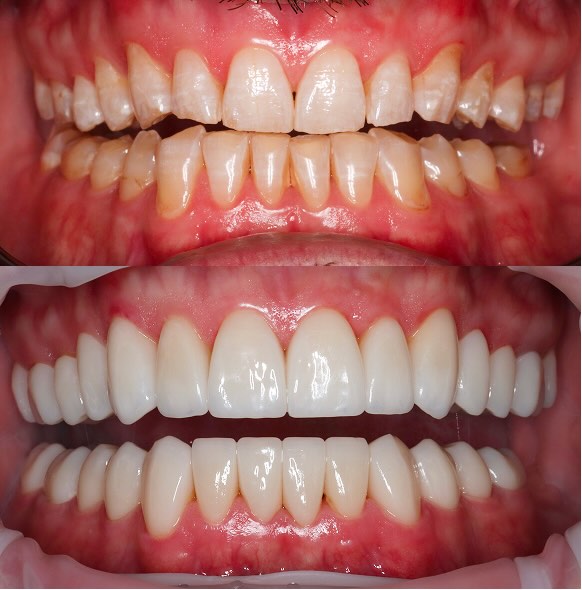
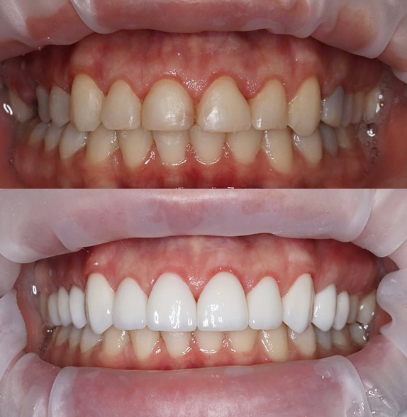
Приклади робіт зі встановлення Вінірів в клініці Happy Зуб
Ціна на встановлення вінірів
Питання “скільки коштує” ми чуємо не рідше, ніж “ а це не боляче”? На все інше відповімо трошки згодом, але тут давайте розкажемо про ціну вінірів.
Звісно, вона залежить від матеріалу, який ви обираєте: композит чи кераміка. А ще, на кінцеву вартість послуги впливає і підготовка. Наприклад, якщо перед встановленням вінірів вам необхідно пролікувати деякі зуби чи зробити професійну чистку. Тож, ми можемо чітко вивести лише вартість встановлення вінірів в Києві (Виноградар) на 1 зуб “під ключ”, а решта – залежить від ваших потреб, побажань і клінічної картини.
Керамічна конструкція, вінір, з облицюванням (встановлення)
13 500 грн
Фіксація вініру на постійний цемент
1 500 грн
Рекомендації по догляду за вінірами
Як і за своїми зубами! Любити, цінувати і берегти – ось найкращі поради)) Проте, давайте перейдемо все ж до практичних кроків по догляду, які значно продовжать термін експлуатації вінірів і допоможуть зберегти красу вашої посмішки на 15-20 років.
Пам’ятка пацієнтУ по догляду за вінірами
- чистіть зуби двічі на день м’якою щіткою, адже жорсткі щетинки можуть пошкодити поверхню вінірів. Також краще відмовитись від електричної щітки, оскільки її вібрація може спровокувати відшарування вінірів;
- зубну пасту обирайте без абразивних та відбілюючих компонентів, тому що вони можуть створювати мікротріщини на поверхні накладок;
- іригатор та зубна нитка – ваші друзі, але використовуйте їх без сильного тиску на вініри;
- що стосується харчування, то в перші дні після встановлення вінірів варто утриматись від вживання фарбуючої їжі – буряка, червоного вина, ягід, кави, міцного чаю;
- давайте помірне навантаження на зуби з вінірами, не гризіть горіхи, лід, насіння – одним словом все те, що може механічно пошкодити керамічні накладки;
- якщо у вас присутній бруксизм – краще перестрахуватись і одягати на ніч спеціальну капу, яка захищатиме зуби від стирання.
Також притримуємось інших стандартних рекомендацій, а саме огляд у стоматолога раз на 6 місяців, професійна гігієна (аби під вінірами не накопичувався наліт і ви могли вчасно виявити карієс). При появі тріщин, сколів чи інших проблем одразу звертайтесь до стоматолога для скорішого виправлення ситуації. Але якщо дотримуватись рекомендацій та не відкривати зубами пляшки – вініри будуть триматись роками і радувати своїх власників 🙂
Часті питання
Абсолютно ні. Найбільш неприємний момент з усіх етапів – це процес обточування зубів. Проте ми використовуємо місцеву анестезію, щоб пацієнт не відчував жодного дискомфорту.
Установка вінірів здебільшого триває у декілька етапів, тому важко визначити це з точністю до хвилин. Але в загальному, якщо мова йде про композитні вініри – то їх можна зробити навіть за 1 візит, проте конкретний час виготовлення буде залежати від кількості. А керамічні – значно довше: перша зустріч відводиться лише для огляду та консультації, на другій відбувається обточка та зняття зліпків, потім – виготовлення у лабораторії протягом 5-7 днів, і лише після цього примірка та установка готових накладок. В цілому на цей процес варто виділити 2-3 відвідування протягом 2 тижнів.
Все знову ж таки залежить від матеріалів. У композитних – приблизно 7 років, у керамічних – до 20 років при дотриманні всіх рекомендацій лікаря по догляду.
Зазвичай такого не роблять) Та і нема в цьому потреби. Конструктивно накладки не можуть щільно приклеїтись до 6-7-8 зубів, і навіщо вам це потрібно? Вініри ставлять на видову частину, яка помітна при посмішці.
Як і за звичайними своїми зубами – чистити двічі на день, використовувати додаткові методи очищення (йоршики, зубні нитки, іригатор), відвідувати планово стоматолога. Головне – на давати зайвого навантаження, не вживати надто твердої їжі та уникати ризику механічних ушкоджень.
Так, можна але ні в якому разі не займатись цим самостійно. Це робиться в клініці під наглядом лікаря-стоматолога. Варто зауважити, що це можна робити лише в крайньому випадку, і зазвичай після цього відбувається заміна попередніх вінірів на нові.
Дуже просто! У нас є спеціальна палітра відтінків, які ми прикладаємо до ваших природних зубів і визначаємо тон, який найбільше підходить.
Так, звісно, якщо є значні патології прикусу або викривлення зубного ряду. Спочатку буде рекомендовано лікування брекет-системою, і лише потім встановлення вінірів. Якщо зробити установку вінірів на криві зуби, то накладки довго не прослужать – вони можуть тріснути, зміститись або навіть зламатись
обладнання
новітнє обладнання та якісні матеріали для лікування
стерильність
максимальне використання одноразових матеріалів для вашої безпеки.
ПОслуги
всі види стоматологічних послуг для дорослих
ДОСВІД
досвідчені фахівці з відповідною кваліфікацією.
КОМФОРТ
комфортне лікування з використання сучасної анестезії
ПЕРСОНАЛЬНИЙ ПІДХІД
індивідуальна розробка плану лікування з фотопротоколом і зазначенням вартості
ЦІНИ
лояльні ціни на всі стоматологічні послуги
ТУРБОТА
супровід пацієнта, затишна атмосфера та доброзичливе ставлення
Запишіться на консультацію
Тому, любіть себе, слідкуйте за здоров’ям зубів, і буде вам щастя 🙂 Завжди раді бачити вас у нашій клініці, якщо виникне потреба у встановленні вінірів в Києві, на Виноградарі. Проконсультуємо, допоможемо, порадимо та полікуємо комфортно і без болю – це вже обіцяємо точно)





